유방암 : 원인, 증상, 진단, 치료 방법 및 예방까지
- 건강에 대한 모든 정보 TIP
- 2025. 2. 4. 13:38
유방암: 원인, 증상, 진단, 치료 방법 및 예방까지
유방암은 전 세계적으로 여성에게 가장 흔하게 발생하는 암 중 하나이며, 조기에 발견할 경우 생존율이 높은 암입니다. 유방암은 유방 조직에서 비정상적인 세포가 과도하게 증식하면서 발생하는데, 유전적 요인, 호르몬 변화, 생활 습관 등의 다양한 요인이 영향을 미칠 수 있습니다.
이번 글에서는 유방암의 원인, 주요 증상, 진단 방법, 치료법, 그리고 예방 방법까지 꼼꼼하게 정리해보겠습니다.
1. 유방암이란?
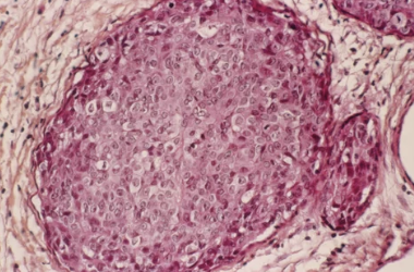
유방암은 유방 조직에서 비정상적인 세포가 과도하게 증식하는 악성 종양으로, 주로 유관(젖을 운반하는 관) 또는 소엽(젖을 생성하는 조직)에서 발생합니다.



✅ 유방암의 종류
- 비침윤성 유방암: 암세포가 유관이나 소엽 안에 국한되어 있는 초기 단계
- 침윤성 유방암: 암세포가 유방 조직을 넘어 림프절이나 다른 부위로 전이된 상태
- 삼중음성 유방암: 치료가 까다롭고 공격적인 형태의 유방암
- HER2 양성 유방암: HER2 단백질 과발현으로 인해 발생하는 공격적인 유방암
📌 TIP:
- 조기에 발견하면 완치율이 높아 정기적인 검진이 필수입니다.
2. 유방암의 주요 원인
유방암의 정확한 원인은 밝혀지지 않았지만, 다양한 요인이 유방암 발병 위험을 증가시키는 것으로 알려져 있습니다.



✅ 유방암 발생 위험 요인
원인 설명
| 유전적 요인 | BRCA1, BRCA2 유전자 돌연변이가 있는 경우 위험 증가 |
| 호르몬 변화 | 에스트로겐 호르몬이 장기간 작용하면 유방암 위험 상승 |
| 나이 증가 | 50세 이상 여성에게 발병률이 높음 |
| 비만 | 지방 조직에서 에스트로겐이 생성되어 유방암 위험 증가 |
| 흡연 및 음주 | 과도한 흡연과 음주는 유방암 발병률을 높일 수 있음 |
| 출산 및 수유 경험 부족 | 첫 출산이 늦거나 출산 경험이 없는 경우 위험 증가 |
| 운동 부족 | 신진대사가 원활하지 않으면 호르몬 균형이 깨져 암 발생 가능성 증가 |
📌 TIP:
- BRCA1, BRCA2 유전자 변이를 보유한 경우, 정기적인 검진과 예방적 치료가 필요할 수 있음.
- 건강한 식습관과 규칙적인 운동이 유방암 예방에 도움됨.
3. 유방암의 주요 증상
유방암은 초기에는 증상이 거의 없지만, 암이 진행되면서 유방이나 겨드랑이에서 이상 증상이 나타날 수 있습니다.



✅ 유방암 의심 증상
- 유방에서 혹(멍울)이 만져짐 (통증이 없을 수도 있음)
- 유방 피부의 변화 (함몰, 붉어짐, 두꺼워짐 등)
- 유두에서 비정상적인 분비물 (혈액이 섞인 분비물 등)
- 겨드랑이 림프절 부위가 부어오름
- 유방 크기나 모양이 변화함
- 유두나 유방 피부에 궤양 발생
📌 TIP:
- 유방에서 멍울이 만져진다면 반드시 병원을 방문해 진단을 받아야 합니다.
- 모든 멍울이 유방암은 아니지만, 유방암 초기 발견이 중요하므로 검사가 필수적입니다.
4. 유방암의 진단 방법
✅ 유방암을 발견하는 주요 검사 방법



검사 방법 설명
| 유방 촬영술 (Mammography) | 가장 기본적인 유방암 조기 진단 검사 |
| 초음파 검사 | 유방조직 내부를 자세히 확인할 수 있음 |
| MRI 검사 | 유방암 고위험군에게 추천되는 정밀 검사 |
| 조직검사 (생검, Biopsy) | 종양 조직을 채취하여 암 여부를 확진 |
| 유전자 검사 (BRCA1, BRCA2) | 유전성 유방암 위험 평가 |
📌 TIP:
- 40세 이후에는 1~2년마다 유방 촬영 검사를 받는 것이 권장됨.
- 고위험군(유전적 요인, 가족력 있는 경우)은 정기적인 MRI 검사가 필요할 수 있음.
5. 유방암의 치료 방법
유방암의 치료 방법은 암의 진행 단계, 환자의 건강 상태, 암세포의 특성에 따라 달라집니다.



✅ 유방암 치료법 비교
치료 방법 특징
| 수술 | 유방암의 크기와 위치에 따라 부분 절제 또는 전체 절제 시행 |
| 항암 화학요법 (항암제) | 암세포를 공격하는 약물 치료, 전이성 유방암에서 필수적 |
| 방사선 치료 | 수술 후 남아있는 암세포 제거를 위해 시행 |
| 호르몬 치료 | 호르몬 수용체 양성 유방암에서 효과적 |
| 표적 치료 | HER2 양성 유방암에 효과적인 치료법 |
📌 TIP:
- 초기 유방암은 수술 후 방사선 치료만으로 완치율이 높음.
- 암의 종류와 전이 여부에 따라 표적치료나 호르몬 치료가 병행될 수 있음.
6. 유방암 예방 방법
✅ 유방암 예방을 위한 생활 습관



예방법 실천 방법
| 건강한 식습관 유지 | 채소, 과일, 건강한 지방 섭취, 가공식품 줄이기 |
| 정기적인 운동 | 하루 30분 이상 유산소 운동 및 근력 운동 병행 |
| 금연 및 절주 | 흡연 및 과음은 유방암 위험을 증가시킴 |
| 출산 및 모유 수유 권장 | 모유 수유는 유방암 예방 효과가 있음 |
| 정기적인 유방 검진 | 40세 이후 매년 유방 촬영술 시행 |
| 체중 조절 | 비만은 유방암 위험을 증가시키므로 적정 체중 유지 |
📌 TIP:
- 규칙적인 생활 습관을 유지하면 유방암 예방에 도움이 됨.
- 가족력이 있다면 30대부터 정기적인 유방 검사를 받는 것이 좋음.
7. 결론
유방암은 조기에 발견하면 충분히 치료가 가능한 암이므로 정기적인 검진과 건강한 생활 습관이 필수적입니다. 만약 가족력이 있거나, 위험 요인이 있는 경우라면 보다 철저한 관리가 필요합니다.
📌 유방암 조기 발견을 위한 정기 검진을 놓치지 말고, 건강한 생활 습관을 실천하여 예방하는 것이 중요합니다!