강아지 허리디스크 수술비용! 치료 방법부터 비용까지 상세 정리
- 반려견 생활 정보 TIP
- 2025. 2. 14. 08:24
강아지 허리디스크 수술비용! 치료 방법부터 비용까지 상세 정리
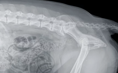
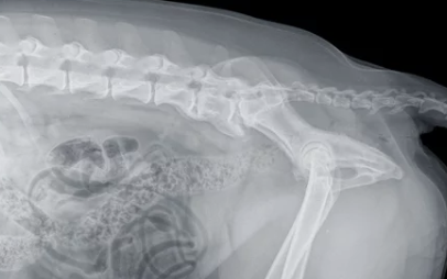
강아지의 허리디스크(추간판 탈출증)는 적절한 치료 시기를 놓치면 마비, 보행 장애 등의 심각한 후유증을 초래할 수 있는 질환이다. 디스크 초기에는 약물치료나 재활치료로 회복이 가능하지만, 증상이 심한 경우 수술이 필요하다.
이번 글에서는 강아지 허리디스크 수술 비용, 치료 과정, 수술 후 관리 및 주의사항 등을 자세히 정리해보았다.
1. 강아지 허리디스크란?
강아지 허리디스크(추간판 탈출증)는 척추 뼈 사이의 디스크(연골 조직)가 탈출하여 신경을 압박하는 질환이다.



✅ 허리디스크 주요 증상
✔ 평소보다 움직임이 둔해지고, 점프를 하지 않으려 함
✔ 뒷다리를 절뚝거리거나, 아예 못 쓰는 경우도 있음
✔ 배변 실수를 자주 하고, 배변 자세를 유지하지 못함
✔ 통증으로 인해 만지면 갑자기 짖거나 공격적인 반응을 보임
✔ 심한 경우 마비가 발생하여 걷지 못함
📌 이러한 증상이 보이면 즉시 병원을 방문하여 검사를 받아야 한다.
2. 강아지 허리디스크 수술비용
강아지 허리디스크 수술 비용은 병원마다 차이가 있으며, 디스크 손상 부위의 개수, 수술 방식, 입원 기간 등에 따라 달라진다.



✅ 수술비용 상세 정리
항목 비용(원) 비고
| MRI 검사비 | 60만 원 ~ 120만 원 | 허리디스크 확진 필수 검사 |
| 수술비 (1부위) | 250만 원 ~ 300만 원 | 디스크 탈출 부위 1개 기준 |
| 수술비 (2부위 이상) | 300만 원 ~ 350만 원 | 심한 경우 추가 비용 발생 |
| 입원비 & 회복 치료비 | 50만 원 ~ 100만 원 | 입원 기간에 따라 달라짐 |
| 추가 약물 치료비 | 10만 원 ~ 30만 원 | 수술 후 추가 처방 필요 |
📌 MRI 검사는 필수이며, 병원마다 차이가 있지만 보통 60~120만 원 정도 발생한다.
📌 수술비는 부위당 250~300만 원 정도이며, 입원비 및 치료비까지 포함하면 총 500만 원까지도 나올 수 있다.
3. 허리디스크 치료 방법
허리디스크는 경증과 중증에 따라 치료 방법이 다르다.



✅ 1) 보존적 치료 (비수술 치료) – 경증인 경우
✔ 소염제, 스테로이드제 처방
✔ 재활 치료 (레이저 치료, 물리치료)
✔ 체중 감량 및 운동 제한
✔ 침대 생활 유지 (뛰거나 점프하지 않도록 조심)
📌 초기 증상이라면 보존적 치료만으로도 회복될 수 있다.
✅ 2) 수술 치료 – 신경 마비가 진행된 경우
✔ 척추 감압술, 디스크 제거술 시행
✔ 수술 후 2~4주간 안정적인 회복 필요
✔ 재활 치료와 보조기 착용이 필요할 수도 있음
📌 마비 증상이 나타나거나, 보존적 치료로 호전되지 않는다면 수술이 필수적이다.
4. 수술 후 회복 과정
수술 후에는 충분한 안정과 재활이 필요하며, 꾸준한 관리가 중요하다.



✅ 수술 후 관리 방법
✔ 수술 후 2주간 운동 제한 (뛰거나 점프 금지)
✔ 재활치료 병행 (물리치료, 워터 워킹 등)
✔ 적정 체중 유지 – 비만은 디스크 재발 위험을 높임
✔ 정기적으로 신경 반응 검사 및 엑스레이 검사 받기
📌 수술 후에도 관리가 중요하며, 지속적인 관찰이 필요하다.
5. 강아지 허리디스크 수술 시 유의사항



✔ 수술 전 MRI 검사가 필수이며, 비용이 별도로 발생함
✔ 병원에 따라 수술비가 다르므로 사전 견적 확인 필수
✔ 수술 후 재활이 중요하며, 운동 제한이 필요함
✔ 허리디스크는 재발 가능성이 높은 질환이므로 지속적인 관리가 필요
📌 수술 후에도 재발할 가능성이 있으므로, 생활 습관을 개선하는 것이 중요하다.
6. 결론
강아지 허리디스크는 초기에 치료하면 수술 없이 회복될 가능성이 있지만, 증상이 심해지면 수술이 필요하다. 수술비는 MRI 검사비 포함 최소 300만 원부터 500만 원 이상까지 발생할 수 있으며, 수술 후 관리가 매우 중요하다.
📌 강아지 허리디스크 핵심 정리
✔ 초기 증상이라면 약물 치료와 재활 치료로 회복 가능
✔ 마비 증상이 있거나 재활 치료로 호전되지 않으면 수술 필요
✔ MRI 검사비 60120만 원, 수술비 250350만 원, 입원비 포함 총 500만 원 이상 발생 가능
✔ 수술 후 재활과 관리가 중요하며, 체중 관리 및 운동 제한 필요
반려견이 허리디스크 증상을 보인다면 즉시 병원을 방문하여 정확한 진단을 받고, 적절한 치료를 진행하는 것이 중요하다.