강아지 관절영양제 추천 및 관절 사료, 관절에 좋은 음식, 관절 수술 비용
- 반려견 생활 정보 TIP
- 2023. 5. 18. 00:10
강아지 관절 영양제는 강아지의 관절 건강을 지키고 관절 질환을 예방하는 데 도움이 되는 제품입니다. 관절 영양제에는 주로 글루코사민, 콘드로이틴, MSM, 초록입홍합, 오메가 3 등의 성분이 들어가 있으며, 이들은 강아지의 연골 재생과 관절 염증을 완화하는 데 효과적입니다. 오늘은 강아지 관절영양제 추천 및 관절 사료, 관절에 좋은 음식, 관절 수술 비용 등에 대해 알려드리겠습니다.

강아지 관절 영양제에 대한 모든 것
강아지 관절 영양제란


강아지 관절 영양제는 강아지의 관절 건강을 위해 필요한 제품입니다. 관절 영양제에는 글루코사민, 콘드로이틴, MSM, 초록입홍합, 오메가 3 등의 성분이 들어가 있습니다. 이들 성분은 강아지의 연골 재생을 촉진하고 관절 염증을 줄여주는 역할을 합니다.
강아지 관절 영양제를 선택하고 급여할 때는 몇 가지 주의사항이 있습니다. 첫째, 강아지의 나이, 체중, 품종, 건강 상태 등에 따라 적합한 제품과 용량이 다르므로 수의사와 상담하는 것이 좋습니다. 둘째, 관절 영양제는 치료제가 아니라 보조제이므로 꾸준하게 급여해야 효과를 볼 수 있습니다. 셋째, 과다 급여나 부적합한 제품을 먹이면 부작용이 발생할 수 있으므로 안내된 적정량을 급여하고 강아지의 반응을 잘 관찰해야 합니다.
슬개골 탈구란?


슬개골 탈구는 강아지의 무릎을 덮고 있는 작은 뼈인 슬개골이 원래 위치에서 벗어나는 현상을 말합니다. 슬개골은 무릎 관절의 움직임을 돕고 보호하는 역할을 하지만, 유전적인 요인이나 외상으로 인해 슬개골이 무릎 안쪽이나 바깥쪽으로 탈출하게 됩니다. 이때 슬개골 주변의 인대나 근육이 손상되고, 관절염이나 십자 인대 파열과 같은 다른 질환을 유발할 수 있습니다.
슬개골 탈구는 주로 소형견에게 흔하게 발생하는 질환으로, 포메라니안, 치와와, 말티즈 등이 취약합니다. 암컷보다 수컷이 잘 걸리며, 양쪽 다리에 동시에 발생할 수도 있습니다. 슬개골 탈구의 증상은 다음과 같습니다.
- 절뚝거림
- 무릎에서 뚝뚝 거리는 소리
- 다리를 들고 걷거나 앉기
- 무릎이 바깥쪽으로 휘어진 자세
- 통증이나 염증
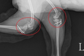
슬개골 탈구는 진행 정도에 따라 1기부터 4기까지 나뉘며, 1기는 가벼운 탈구로 슬개골이 자연적으로 제자리로 돌아가고, 4기는 심한 탈구로 슬개골이 제자리로 돌아가지 않고 통증이 심해집니다. 슬개골 탈구의 진단은 병원에서 촉진 검사나 X-선 검사를 통해 할 수 있습니다.
슬개골 탈구의 치료 방법은 단계와 상태에 따라 다르지만, 일반적으로 2기 이상이면 수술을 권장합니다. 수술은 슬개골을 제자리에 고정하거나 활차구를 깊게 만들어주는 방법 등이 있습니다. 수술 후에는 꾸준한 관리와 재활이 필요하며, 관절 보조제나 치료식을 급여하는 것도 도움이 됩니다.
슬개골 탈구를 예방하기 위해서는 다음과 같은 일상 수칙을 지키는 것이 중요합니다.
- 체중 관리하기
- 과도한 운동이나 점프 피하기
- 미끄럼 방지 패드나 카펫 사용하기
- 발바닥 털과 발톱 자르기
- 주기적인 검진 받기
강아지 관절 영양제 5가지 추천


- 힐스 사이언스 다이어트 조인트 케어: 힐스 사이언스는 유명한 반려동물 사료 브랜드 중 하나입니다. 이 제품은 글루코사민과 콘드로이틴, MSM, 오메가-3 지방산 등이 함유되어 있어 강아지의 관절 건강을 유지하는 데 도움을 줍니다.
- 로얄캐닌 조인트 케어: 로얄캐닌은 또 다른 유명한 반려동물 사료 브랜드입니다. 이 제품은 글루코사민과 콘드로이틴, MSM, 오메가-3 지방산, 비타민 C 등이 함유되어 있어 강아지의 관절 건강을 유지하는 데 도움을 줍니다.
- 네이처스 베스트 그린 립드 무스: 이 제품은 미국에서 유명한 강아지 관절 영양제 브랜드 중 하나입니다. 이 제품은 글루코사민, 콘드로이틴, MSM, 그린 립드 무스 등이 함유되어 있어 강아지의 관절 건강을 유지하는 데 도움을 줍니다.
- 펫토리 콘드로이틴 글루코사민: 이 제품은 국내에서도 유명한 강아지 관절 영양제 브랜드 중 하나입니다. 이 제품은 글루코사민과 콘드로이틴, MSM, 히알루론산 등이 함유되어 있어 강아지의 관절 건강을 유지하는 데 도움을 줍니다.
- 노바캣 콘드로이틴 글루코사민: 이 제품은 국내에서도 유명한 강아지 관절 영양제 브랜드 중 하나입니다. 이 제품은 글루코사민과 콘드로이틴, MSM, 히알루론산 등이 함유되어 있어 강아지의 관절 건강을 유지하는 데 도움을 줍니다.
쿠팡에서 쉽게 구매할 수 있는 관절 사료 5가지 추천


강아지 관절 사료는 강아지의 관절 건강을 지켜주고, 관절염이나 퇴행성 관절염과 같은 질환을 예방하거나 완화하는 데 도움이 되는 사료입니다. 관절 사료에는 보통 관절 연골을 보호하고 재생하는 콘드로이친, 관절 염증을 줄이고 윤활작용을 하는 글루코사민, 지방 연소를 촉진하고 체중 조절에 도움이 되는 L-카르니틴 등의 성분이 함유되어 있습니다. 강아지의 나이나 체형, 활동량에 따라 관절 사료를 선택하고 적절한 양을 급여하는 것이 중요합니다.
한국에서 구매할 수 있는 강아지 관절 사료 중에서 5가지를 소개해드리겠습니다.
1. **ANF 전연령 독 식스프리 레드 소고기 건식사료**: 유기농 원료로 만들어진 곡물 프리 사료로, 소고기와 연어를 주원료로 사용하여 고품질 단백질을 제공합니다. 또한 초록입홍합과 유카추출물 등의 식이섬유가 함유되어 있어 강아지의 장건강과 변냄새를 개선하고, 관절 건강에도 도움이 됩니다. 낱개 소포장으로 되어 있어 보관하기 편리하고 기호성도 좋습니다.
2. **네츄럴랩 케어4 다이어트&면역 유기농 70% 기능성 건식사료**: 유기농 원료가 70% 이상 들어간 사료로, 가수분해 소고기를 주원료로 사용하여 식이 알러지 가능성을 낮추고 소화흡수율을 향상시킵니다. 또한 L-카르니틴과 크릴오일 등의 성분이 들어가 있어 체지방을 감소시키고 지방연소에 도움을 줍니다. 면역력에도 좋은 초록입홍합과 콘드로이친 성분도 함유되어 있습니다.
3. **라무달리 전연령 강아지 금동사료**: 한국산 원료로 만들어진 사료로, 금동(金桐)이라는 식물성 단백질을 주원료로 사용하여 강아지의 알러지와 피부모질에 도움을 줍니다. 또한 콘드로이친과 글루코사민 등의 성분이 함유되어 있어 관절 건강에도 좋습니다. 곡물 프리 사료로 기호성도 높습니다.
4. **뉴트리나울트라 전연령 울트라 액티브 건식사료**: 고품질 단백질원인 닭고기와 연어가 주원료로 사용된 사료로, 활동량이 많은 강아지에게 적합합니다. 또한 곡물과 야채가 함유되어 있어 강아지의 영양균형을 맞춰줍니다. 콘드로이친과 글루코사민 성분도 들어가 있어 관절 건강에도 도움이 됩니다.
5. **네츄럴코어 전연령 에코플러스6 유기농 70% 가수분해 건식사료**: 유기농 원료가 70% 이상 들어간 사료로, 가수분해 닭고기를 주원료로 사용하여 식이 알러지 가능성을 낮추고 소화흡수율을 향상시킵니다. 또한 오메가3와 오메가6 함유량이 높아 피부모질에 좋으며, 콘드로이친과 글루코사민 성분도 함유되어 있어 관절 건강에도 도움이 됩니다.
강아지 관절에 좋은 음식


- 연어: 연어는 오메가-3 지방산이 풍부하게 함유되어 있어 강아지의 관절 건강을 유지하는 데 도움을 줍니다.
- 닭고기: 닭고기는 단백질이 풍부하게 함유되어 있어 강아지의 근육을 강화하는 데 도움을 줍니다. 또한, 글루코사민과 콘드로이틴이 함유되어 있어 강아지의 관절 건강을 유지하는 데도 효과적입니다.
- 녹색 채소: 녹색 채소는 비타민 C와 카로틴이 풍부하게 함유되어 있어 강아지의 면역력을 강화하는 데 도움을 줍니다. 또한, 녹색 채소에는 루테인과 제아잔틴이 함유되어 있어 강아지의 눈 건강을 유지하는 데도 효과적입니다.
- 고구마: 고구마는 베타카로틴과 비타민 C가 풍부하게 함유되어 있어 강아지의 면역력을 강화하는 데 도움을 줍니다. 또한, 고구마에는 콜라겐 형성에 필요한 비타민 A가 함유되어 있어 강아지의 관절 건강을 유지하는 데도 효과적입니다.
- 블루베리: 블루베리는 항산화 물질인 안토시아닌이 풍부하게 함유되어 있어 강아지의 면역력을 강화하는 데 도움을 줍니다. 또한, 블루베리에는 관절 건강에 필요한 비타민 C와 칼슘이 함유되어 있어 강아지의 관절 건강을 유지하는 데도 효과적입니다.